[The importance of immuno-oncology in oncological rehabilitation – presentation and assessment using three patient cases]
Holger G. Hass 11 Paracelsus-Hospital, Scheidegg, Deutschland
Abstract
Background: The introduction of checkpoint inhibitors revolutionized treatment especially in difficult-to-treat patients (e.g. melanoma, lung cancer). Reasonable to a fast admission of these drugs for many other cancers in the last few months physicians in rehabilitation centers will be faced with the new side effects and their impact on working life by these drugs.
Case reports: By means of three case reports the impact of the checkpoint inhibitors for work ability as well as the potential new side effects and health risk, e.g. hypophysitis mimicry fatigue or autoimmune hepatitis, are discussed.
Conclusions: Treatment using checkpoint inhibitors shows promising results especially in patients with difficult-to-treat cancers. In our opinion these drugs will not only lead to a significant better overall survival in some cancer patients but also may influence work ability and daily treatment of specific side effects in rehabilitation centers.
Keywords
indoor rehabilitation, checkpoint inhibitors, pembrolizumab, autoimmune hypophysitis
Hintergrund
Infolge der aktuellen Therapiefortschritte im Bereich der Onkologie, insbesondere durch die zunehmende Einführung von neuen, immunologisch wirksamen Medikamenten wie sog. „Checkpoint“-Inhibitoren (CTLA-4-, PD-1- bzw. PD-1L-Antikörper wie z.B. Ipilimumab, Pembrolizumab, Nivolumab, etc.) lässt sich zunehmend auch bei Patienten mit metastasierter onkologischer Erkrankung ein deutlich längeres Überleben bzw. der Übergang einer „palliativen“ Erkrankung in eine „chronische“ Erkrankungsphase dokumentieren [1], [2], [3]. So kam es seit 2013 nach Erstzulassung des CTLA-4-Antikörpers Ipilimumab beim Melanom in rascher Abfolge zu weiteren Zulassungen ähnlicher Substanzen beim nicht-kleinzelligen Bronchial-, Nieren- und Urothelkarzinom, bei Kopf-Hals-Tumoren sowie beim klassischen Morbus Hodgkin (Stand 10/2018), teilweise schon für die Therapie in der Erstlinienbehandlung.
In Anbetracht der rasanten Entwicklung und raschen Zulassung dieser Immunonkologika für eine steigende Anzahl von Tumorentenitäten (s. Tabelle 1 [Tab. 1]), wird zunehmend auch der in der onkologischen Rehabilitation tätige Arzt mit neuen Nebenwirkungen und potenziellen Risiken dieser meist langfristig gegebenen Medikamente konfrontiert, unter denen insbesondere die teils zeitlich versetzt auftretenden autoimmun-bedingten Nebenwirkungen gegenüber herkömmlichen Chemotherapeutika zu erwähnen sind (s. Abbildung 1 [Abb. 1]). Andererseits bewirkt das teils gute Ansprechen dieser Substanzen mit einer signifikanten Lebensverlängerung ein Umdenken bzw. eine zusätzliche Bewertung in der Sozialmedizinischen Leistungsbeurteilung bei einigen Patienten in „palliativer“ Erkrankungssituation.
Tabelle 1: Aktuell in Deutschland in der Onkologie zugelassene Immuntherapeutika (Checkpoint-Inhibitoren; Stand 09/2018)
Abbildung 1: Autoimmun-bedingte endokrinologische Störungen und gastroenterologische Nebenwirkungen unter Therapie mit Checkpoint-Inhibitoren
Anhand von 3 Patientenfällen werden sowohl die klinische Bedeutung der neuen Substanzen in der onkologischen Rehabilitation sowie deren potenzielle sozialmedizinische Aspekte diskutiert.
Fallbeschreibungen
Fallbeispiel 1
47-jährige Patientin, Lehrerin, mit metastasiertem Kolonkarzinom St. IV (Pankreas-/Milzinfiltration, Peritonealkarzinose, zervikale LK-Metastasen), Erstdiagnose in 03/2016. Nach primärer, inkompletter operativer Therapie (R1) kam es – trotz umfangreichem Tumor-Debulking inkl. Milzresektion – im kurzfristigen Verlauf zu einem raschen Progress mit zervikaler Lymphknotenmetastasierung.
Auf eine palliative Erstlinientherapie (Kombinationschemotherapie mit 5-FU/LV + Oxaliplatin nach dem FOLFOX-Schema) zeigte sich nur kurzzeitig eine partielle Remission, bei erneutem Progress therapeutischer Versuch mit einer Zweitlinientherapie (Kombinationschemotherapie mittels 5-FU/LV, Irinotecan und VEGF-Antikörper Bevacizumab (FOLFIRI + Avastin®). Bei fehlendem Ansprechen und nachgewiesener genetischer Mikrosatelliten-Instabilität (MSI+) seit 01/2017 „individueller Heilversuch“ („off label“) mit dem PD-1-Antikörper Pembrolizumab (2 mg/kg Körpergewicht) intravenös alle 3 Wochen.
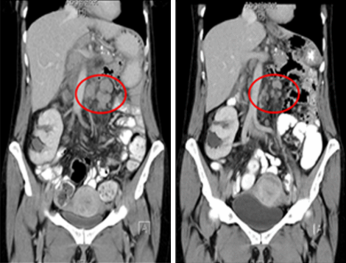
Schon nach 1. Gabe deutliches Ansprechen (partielle Remission der zervikalen und intraabdominellen Lymphknoten-Metastasen, s. Abbildung 2 [Abb. 2]). In 07/2017 onkologische Rehabilitation in der Paracelsus-Klinik Scheidegg (dort Fortsetzung der Therapie/7. Gabe Pembrolizumab). Die Therapie wurde unverändert ohne subjektive Nebenwirkungen gut vertragen, die Patientin wollte nach der Rehabilitation wieder ihre Arbeit als Lehrerin aufnehmen.
Abbildung 2: Ergebnis der radiologischen Verlaufskontrolle (CT-Abdomen) bei Patientin Nr. 1 nach 4 Gaben Pembrolizumab (partielle Remission der paraaortalen Lymphknotenmetastasen)
Bei guter Verträglichkeit ohne subjektive Nebenwirkungen Eingliederung ab September 2017. Telefonat Ende 10/2017 sowie in 07/2018: Patientin hat die Eingliederung abgeschlossen, unverändert gutes Ansprechen (partielle Remission) und gute Verträglichkeit der seit 1½ Jahren durchgeführte Immuntherapie mit Pembrolizumab.
Fallbeispiel 2
66-jähriger Patient, berentet, mit einem lymphogen- sowie ossär-metastasierten Bronchialkarzinom (NSCLC), Erstdiagnose in 10/2016. Z.n. Radiochemotherapie, seit 06/2017 palliative Zweitlinientherapie mit dem PD-1-Antikörper Nivolumab. Patient kommt in 02/2018 zur onkologischen Rehabilitation nach erneuter Radiatio von Knochenmetastasen unter laufender Therapie mit Nivolumab. Haupt-Rehaziel des Patienten war die Linderung „meiner Fatigue/massiver Kraftlosigkeit“ (Patient).
Bei Aufnahme klagt der Patient über eine generalisierte Schwäche, klinisch auffallend ist ein inadäquat verlangsamtes Verhalten (adynam, evtl. depressiv), chronische Obstipation, sowie eine auffallend kühle/teigige Haut bei der Untersuchung.
Im Aufnahme-Labor keine (wie anfangs vermutet) Anämie (Hb 13,2g/dl), TSH deutlich erniedrigt (0,01 mU/ml) sowie Hypoglykämie (50 mg/dl). Bei Rücksprache mit dem Labor massive, manifeste primäre Hypothyreose (fT4 0,02 ng/dl; fT3 0,0 pg/ml) und Cortisolmangel (Cortisol 8 ng/ml; s. Tabelle 2 [Tab. 2]).
Tabelle 2: Laborparameter Patient Nr. 2
Somit Diagnose einer manifesten Hypothyreose/Nebenniereninsuffizienz bei (V.a.) autoimmun-bedingter Hypophysitis und Einleitung einer Steroid-Medikation sowie Hormonersatz-Therapie (L-Thyroxin) mit rascher Besserung der „Fatigue“.
Fallbeispiel 3
56-jähriger Patient, Bankkaufmann, in 2008 Erstdiagnose eines primär operablen Kolonkarzinoms. Z.n. Hemikolektomie und adjuvante Chemotherapie. In 2010 intraabdominelles, inoperables Rezidiv, Z.n. mehreren unterschiedlichen Chemotherapie-Linien und rezidivierenden Laparotomien zum Tumordebulking. Nach erneutem Progress auf 5. Linientherapie seit Juni 2018 nun „individueller Heilversuch“ („off label“) mit Nivolumab + Ipilimumab.
Bei Aufnahme zur onkologischen Rehabilitation mäßig erhöhte Leberwerte und bekannte, leichtgradige Aszitesbildung. Im Verlauf (Tag 8) langsam, dann massiv ansteigende Leberwerte (Tag 14, s. Abbildung 3 [Abb. 3]) und Aszitesbildung. Sonographisch kein Anhalt für Lebermetastasierung oder Cholestase. Bei V.a. medikamentös-toxische Hepatitis bzw. V.a. autoimmun-bedingte Hepatitis mit Progress unter Immunstimulation infolge der Checkpoint-Inhibitoren Entlassung und rasche Wiedervorstellung im onkologischen Zentrum eingeleitet.
Abbildung 3: Verlauf Cholestase- und Leberparameter bei Patient Nr. 3 mit autoimmun-bedingter Hepatitis unter Kombinationstherapie (Nivolumab + Ipilinumab)
Diskussion
Infolge der Zulassung von sog. Immun-Checkpoint-Inhibitoren lässt sich in vielen Fällen ein über Jahre stabiler Erkrankungsverlauf selbst bei metastasierten Tumorerkrankungen dokumentieren. Daher ist davon auszugehen, dass zukünftig selbst bei viszeralen Metastasen und gutem Therapie-Ansprechen die berufliche Teilhabe bei einigen der betroffenen Patienten (z.B. im Falle von Patientin Nr. 1) nicht unrealistisch erscheint. Zu bedenken ist allerdings auch die Zunahme von bisher unbekannten, häufig immunologisch bedingten Nebenwirkungen, insbesondere von immunologisch bedingten Autoimmunerkrankungen [4], [5].
Die bei Patient Nr. 2 diagnostizierte autoimmune Hypophysitis ist eine zwischenzeitlich gut beschriebene und gefürchtete Komplikation der Therapie mit Checkpoint-Inhibitoren, insbesondere beim Einsatz von Ipilimumab, welche in Studien mit einer Inzidenz von 1–7%, unter dem zunehmenden Einsatz einer Kombination dieser Substanzen in bis zu 11% beschrieben wurde [6], [7], [8]. Diese Nebenwirkung kann infolge der klinischen Symptomatik mit einem Therapie-induzierten Fatigue-Syndrom verwechselt werden [9], weswegen ein Wissen um die durchgeführte onkologische Therapie in der Rehabilitation zum Nachweis dieser potenziell vital-bedrohlichen, aber gut behandelbaren Komplikation, wesentlich ist.
Eine ebenfalls häufiger vorkommende beschriebene Komplikation unter den Checkpoint-Inhibitoren ist die autoimmun-getriggerte Hepatitis [10]. Deren Inzidenz wird in der Literatur mit 5–10%, unter Kombination von Ipilimumab mit Nivolumab bis zu ~20% angegeben [11]. Im konkreten Fall (Patient Nr. 3) wurde primär an einen Tumorprogress mit Lebermetastasen gedacht, in Anbetracht des raschen klinischen Verlaufes (Aszitesbildung, Ikterus) und massiven Anstiegs der Leberwerte bei unauffälliger Sonographie musste man an diese autoimmun-bedingte Nebenwirkung des Checkpoint-Inhibitoren denken. Erschwerend kommt hinzu, dass aktuell (Stand 10/2018) keines dieser innovativen Medikamente zur Behandlung von gastrointestinalen Tumorerkrankungen in Deutschland zugelassen ist, so dass daher nur geringe Erfahrungen bei der Diagnose und dem Management dieser Nebenwirkung zumindest in diesem Patientenkollektiv vorliegen.
Fazit
Durch moderne onkologische Therapien wie den Einsatz der hier vorgestellten Checkpoint-Inhibitoren werden zukünftig die Prognose sowie das längerfristige Überleben zumindest bei einigen onkologischen Patienten deutlich verbessert werden. Dies wird dazu führen, dass sich gegenüber Chemotherapie-basierten Behandlungsstrategien bei diesen Respondern häufig ein jahrelanges Ansprechen und ein Überführen einer „palliativen“ Erkrankung in ein chronisches Krankheitsstadium erreichen lässt. Zukünftig werden daher mehr Patienten – trotz Krebserkrankung – zumindest teilweise am beruflichen Leben partizipieren können. Andererseits wird der zunehmende Einsatz dieser innovativen Medikamente zu einem vermehrten Vorkommen von teils neuartigen Nebenwirkungen in der onkologischen Rehabilitation führen.
Diese Entwicklungen unterstreichen die Notwendigkeit zur Durchführung der onkologischen Rehabilitation in hierfür spezialisierten, internistisch-onkologischen Einrichtungen.
Anmerkungen
Interessenkonflikte
Der Autor erklärt, dass er keine Interessenkonflikte in Zusammenhang mit diesem Artikel hat.
Literatur
[1] Grossmann KF, Margolin K. Long-term survival as a treatment benchmark in melanoma: latest results and clinical implications. Ther Adv Med Oncol. 2015 May;7(3):181-91. DOI: 10.1177/1758834015572284[2] Langer CJ. Emerging immunotherapies in the treatment of non-small cell lung cancer (NSCLC): the role of immune checkpoint inhibitors. Am J Clin Oncol. 2015 Aug;38(4):422-30. DOI: 10.1097/COC.0000000000000059
[3] Constantinidou A, Alifieris C, Trafalis DT. Targeting Programmed Cell Death -1 (PD-1) and Ligand (PD-L1): A new era in cancer active immunotherapy. Pharmacol Ther. 2018 Sep 28. pii: S0163-7258(18)30173-6. DOI: 10.1016/j.pharmthera.2018.09.008
[4] Spain L, Diem S, Larkin J. Management of toxicities of immune checkpoint inhibitors. Cancer Treat Rev. 2016 Mar;44:51-60. DOI: 10.1016/j.ctrv.2016.02.001
[5] Abdel-Rahman O, ElHalawani H, Fouad M. Risk of endocrine complications in cancer patients treated with immune check point inhibitors: a meta-analysis. Future Oncol. 2016 Feb;12(3):413-25. DOI: 10.2217/fon.15.222
[6] Faje AT, Sullivan R, Lawrence D, Tritos NA, Fadden R, Klibanski A, Nachtigall L. Ipilimumab-induced hypophysitis: a detailed longitudinal analysis in a large cohort of patients with metastatic melanoma. J Clin Endocrinol Metab. 2014 Nov;99(11):4078-85. DOI: 10.1210/jc.2014-2306
[7] Brilli L, Danielli R, Ciuoli C, Calabrò L, Di Giacomo AM, Cerase A, Paffetti P, Sestini F, Porcelli B, Maio M, Pacini F. Prevalence of hypophysitis in a cohort of patients with metastatic melanoma and prostate cancer treated with ipilimumab. Endocrine. 2017 Dec;58(3):535-41. DOI: 10.1007/s12020-017-1289-2
[8] Barroso-Sousa R, Barry WT, Garrido-Castro AC, Hodi FS, Min L, Krop IE, Tolaney SM. Incidence of Endocrine Dysfunction Following the Use of Different Immune Checkpoint Inhibitor Regimens: A Systematic Review and Meta-analysis. JAMA Oncol. 2018 Feb;4(2):173-82. DOI: 10.1001/jamaoncol.2017.3064
[9] Nagasaka M, Abdallah N, Samantray J, Sukari A. Is this really just “fatigue”? A case series of immune-related central adrenal insufficiency secondary to immune checkpoint inhibitors. Clin Case Rep. 2018 Jul;6(7):1278-81. DOI: 10.1002/ccr3.1567
[10] Reddy HG, Schneider BJ, Tai AW. Immune Checkpoint Inhibitor-Associated Colits and Hepatitis. Clin Transl Gastroenterol. 2018 Sep;9(9):180. DOI: 10.1038/s41424-018-0049-9
[11] Larkin J, Hodi FS, Wolchok JD. Combined Nivolumab and Ipilimumab or Monotherapy in Untreated Melanoma. N Engl J Med. 2015 Sep 24;373(13):1270-1. DOI: 10.1056/NEJMc1509660



