[Cervico-thorakale Kyphose bei einem Mädchen mit Pierre-Robin-Syndrom]
Ali Al Kaissi 1,2Rudolf Ganger 2
Klaus Klaushofer 1
Franz Grill 2
1 Ludwig Boltzmann Institute of Osteology, Hanusch Hospital of WGKK and AUVA Trauma Centre Meidling, 4th Medical Department, Hanusch Hospital, Vienna, Austria
2 Orthopaedic Hospital of Speising, Paediatric Department, Vienna, Austria
Zusammenfassung
Die Auswirkungen einer congenitalen cervico-thorakalen Kyphose bei einem Mädchen mit Pierre-Robin-Syndrom werden beschrieben. Die Ausprägung der spinösen Malformationen wie inkomplette Entwicklung der Wirbelkörper verbunden mit Ossifikationsdefizit der Pedikel führten zu einer Kompression des Myelons im Bereich des kyphotischen Scheitels C7/Th1. Eine congenitale Kyphose bedingt durch Hypoplasie eines Wirbelkörpers wurde bisher in Verbindung mit Pierre-Robin-Syndrom noch nicht berichtet.
Schlüsselwörter
Pierre-Robin-Syndrom, Wirbelkörperhypoplasie, Kyphose, Paraplegie, Computertomographie
Background
Pierre Robin described a range of findings consisting of breathing problems in patients with glossoptosis and associated micrognathia. Later on Pierre Robin mention that patients with the described findings could have an associated cleft palate. The aetiology of this sequence is not fully understood and pathogenesis is thought to be multifactorial. About 25% associated with other syndromes, 35% with other abnormalities not syndromally defined, and 40% have isolated malformation. Some cases may be due to physically intra-uterine compromise but it has been linked with deletions on chromosome 2 that are known to be associated with palatal abnormalities, and in some cases may have Mendelian genetic basis that is, as yet, unclear. Candidate genes and loci are under investigation [1], [2], [3], [4], [5].
The association of this sequence with other syndromes and anomalies has been described. 6,7,8,9 Few reports, however, described the association of craniocervical deformities in connection with patients with Pierre Robin sequence [6], [7], [8], [9], [10], [11].
We report a patient with the Pierre Robin sequence, hypoplasia of the vertebral bodies along the cervico-thoracic vertebrae was the major abnormality. The latter was the reason behind the development of significant kyphosis. Computed tomography scanning showed the detailed cervico-thoracic spine anatomical malformation. MRI showed the complete spinal cord injury/atrophy at the kyphotic level of C7/T1.
Case presentation
A 2-year-old girl was referred to our department because of progressive congenital kyphosis. She was born at full term the product of an uneventful gestation. Birth weight, length and head circumference were around the 10th percentile. At birth micrognathia, glossoptosis and cleft palate were the most prominent phenotypic abnormalities. Cervico-thoracic kyphosis was a major orthopaedic abnormality. The mother is a 26-years-old gravida 1 abortus 1 married to a 31-years-old cousin (gravida 1 means she has a history of one gestation, abortus 1 means she had a history of single spontaneous abortion and the cause was unknown). The family history was otherwise unremarkable.
At birth her clinical examination showed Pierre Robin sequence associated with congenital cervico-thoracic kyphosis and floppiness. The child had bouts of nasal regurgitation while swallowing, associated with nasal escape of air (heard as grunting) because of her cleft palate. Ultrasound examination of the brain, heart and kidneys were normal. She underwent palatal pushback repair of her cleft palate, and bilateral myringotomy and tube placement were undertaken at the same time. In her early life there were attempts to reduce her kyphosis by means of extension and a closed reduction. The outcome, however, was unpleasant. Examination at the age of 2 years showed that cervico-thoracic kyphosis with Cobb's angle of 90° was present. Neurological examination was consistent with a severe spinal cord injury at C7/T1. There was complete paralysis of the body and legs associated with partial finger movement, but with full elbow and wrist flexion and extension. The head movement was satisfactory as well as the shoulder movement. There were no associated joint dislocations and or clubfoot. A thorough clinical examination showed no specific skin stigmata i.e. no associated midline cutaneous lesions such as hairy tuft, dimple or haemangioma suggestive of an underlying occult spinal dysraphism have been detected.
Speech and language delay secondary to otitis media were evident. Investigations were performed and included CK plasma levels, thyroid and parathyroid hormone levels, a metabolic screening of plasma and urine for disturbances in the metabolism of aminoacids, very long chain fatty acids, and oligosaccharides, electromyography, peripheral nerve velocity studies, and a muscle biopsy, and all gave normal results. Chromosome analysis in the proband and her parents revealed normal Karyogram.
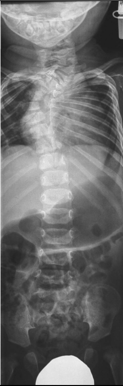
Anteroposterior cervico-thoracic radiograph showed partial vertebral body and defective ossification of the cervico-thoracic pedicles associated with ill-defined fused hemivertebrae along T1/5 (Figure 1 [Fig. 1]).
Figure 1: Anteroposterior cervico-thoracic radiograph showed partial vertebral body and defective ossification of the cervico-thoracic pedicles associated with ill-defined fused hemivertebrae along T1/5.
We referred to CT scanning to further localise the osseous malformation complex. Axial reformatted CT scan of C3 showed hypoplasia of the vertebral body associated with defective ossification of the pedicle, lamina and the spinous process respectively (Figure 2 [Fig. 2]). Sagittal reformatted CT scan showed occipitalisation of the anterior arch of the atlas, anterior and horizontal atlantoaxial dislocation associated hypoplasia of the vertebral bodies (Figure 3 [Fig. 3]). 3 D reconstructions CT scan showed significant disconnection of the posterior spine elements (arrow) related to underdeveloped pedicles and hypoplasia of the laminae along different cervical levels C2/4 and C6 associated with extensive malsegmentation (Figure 4 [Fig. 4]). Sagittal MRI showed the atrophic spinal cord at C7/T1 (in this patient there was a constellation of spinal osseous maldevelopment of the cervico-thoracic vertebrae with subsequent development of traumatic atrophy of the spinal cord) (Figure 5 [Fig. 5]).
Figure 2: Axial reformatted CT scan of cervical spine (C3) showed hypoplasia of the vertebral body associated with defective ossification of the pedicle, lamina and the spinous process respectively.
Figure 3: Sagittal reformatted CT scan showed occipitalisation of the anterior arch of the atlas, anterior and horizontal atlantoaxial dislocation associated hypoplasia of the vertebral bodies.
Figure 4: 3 D reconstruction CT scan showed significant disconnection of the posterior spine elements (arrow) related to underdeveloped pedicles and hypoplasia of the laminae along different cervical levels C2/4 and C6 associated with extensive malsegmentation.
Figure 5: Sagittal MRI showed the atrophic spinal cord at C7/T1 (in this patient there was a constellation of spinal osseous maldevelopment of the cervico-thoracic vertebrae with subsequent development of traumatic atrophy of the spinal cord).
Discussion
Partial or total vertebral body absence causing congenital kyphosis was first described by Rokitansky in 1844 [12].
Van Schrick in 1932 described the deformity as maldevelopment of the vertebral body centrum [13].
He divided them into two basic groups, with either failure of segmentation of the vertebral body with adjacent fusion of anterior portions of the vertebral bodies or absence of vertebral body development. Winter et al. described 130 cases of congenital kyphosis and proposed a new classification with three basic types. Type 1 is absence of vertebral bodies, while type 2 is failure of segmentation with accompanying kyphosis developing more gradually. Type 3 is a combination of both type 1 and type 2, the kyphosis in the vast majority of these patients was in the thoraco-lumbar region [14].
The embryologic insult which leads to this abnormality may occur during the late chondrification or early ossification phase of formation of the vertebral body centrum. A disturbance in vascularisation particularly in the dorsal portion leads to the lack of development of this rapidly growing portion of the vertebral body [15]. Since the remainder of the spinal develops from separate chondrification centres, these portions are usually not affected. Rarely the entire vertebral body segment may fail to develop or the vertebral maldevelopment may occur at multiple levels. Statistically it appears to be most drastic if a malformation is in the upper thoracic spine or if multiple levels of maldevelopment are present. Delayed ossification of vertebral pedicles is a known feature in children with camptomelic dysplasia though to be related to a primary defect in the cartilaginous anlage [16], [17].
It has been known that oral clefts are frequently associated with other congenital defects, although the reported prevalence at birth and the type of associated malformations observed vary considerably among diverse studies. Fogh-Anderson found that 10% or more of the children with cleft lip and plate had associated malformations [18]. Lilius reported that 21.8% of cleft lip and plate children had associated malformations [19].
Milerad et al. observed other malformations in 21% of the infants with clefts studied in Stockholm [20].
It has also not been established whether clefts are conclusively related to specific types of other congenital defects [21].
There are differences of opinion regarding which organ system is most often affected by associated malformations.
Previous reports described the association of occipitoatlantoaxial instability and congenital thoracic vertebral deformity in association with Pierre Robin sequence [10]. The authors presented a case of an 8-year-old child with Pierre Robin sequence. Congenital scoliosis appeared at the age of 6 years because of the presence of unilateral unsegmented bar (failure of segmentation of the 4th and 5th thoracic vertebrae respectively). At the cervical vertebral level, there was Atlanto-occipital subluxation in correlation with Klippel-Feil anomaly. Gamble and Rinsky described anterior and posterior arch defects of the atlas in a patient with Pierre Robin sequence [11].
None, of the above mentioned reports seems to be compatible with the constellation of vertebral malformation seen in our present patient.
The differential diagnosis of our current patient with other syndromic entities of severe vertebral malsegmentation such as VATER association, spondylocostal dysostosis and MURCS association have been considered [22]. On the other hand, our patient did not manifest any clinico-imaging criteria suggestive of cervical spine dysraphism. Cervical spine dysraphism is a rare malformation in infants because cervical myeloschisis seems to be the extension of a low rhombencephalic lesion. With the involvement of this region, which is vital to life, most of these embryos terminate in spontaneous abortions or stillbirths [23], [24].
Learning points can be extracted from this case:
- Congenital or developmental cervical kyphosis might be seen in other syndromic entities such as Larsen syndrome, diastrophic dysplasia, and camptomelic dysplasia and in chondrodyspalsia punctata
- Congenital cervical instability and kyphosis was the outcome of the vertebral body hypoplasia associated with functional disconnection of the posterior elements of the spine related to underdeveloped pedicles.
- Customized cervical orthosis was insufficient to prevent atrophic spinal cord injury.
- The reason for presenting this case is to signify that patients with Pierre Robin sequence have the propensity to manifest a wide spectrum of malformation complex. In our present patient, using CT scan was useful to visualize the displaced and the hypoplastic vertebral bodies and the degree of involvement of the posterior spine elements.
- We wish to stress that the simultaneous occurrence of Pierre Robin sequence in association with cervico-thoracic maldevelopment in our patient suggests that, the two conditions may be part of a spectrum occurring in a single genetic entity with the diversity possibly resulting from variable expressivity of a single gene, but this assumption requires further research potential. Consanguinity in this family is compatible with autosomal recessive pattern of inheritance.
Notes
Competing interests
The authors declare that they have no competing interests.
Informed consent
Our research project has been approved by the Medical University of Vienna (Ethics committee, EK Nr: 921/2009) and informed consent was obtained from the patients guardians.
References
[1] Robin, P. La chute de la base de la langue considérée comme une nouvelle cause de gêne dans la respiration naso-pharyngienne. Bull Acad Med (Paris). 1923;89:37-41.[2] Robin P. Glossoptosis due to atresia and hypotrophy of the mandible. Am J Dis Child. 1934;48:541-7.
[3] Dennison WM. The Pierre Robin syndrome. Pediatrics. 1965;36(3):336-41.
[4] Jakobsen LP, Knudsen MA, Lespinasse J, García Ayuso C, Ramos C, Fryns JP, Bugge M, Tommerup N. The genetic basis of the Pierre Robin Sequence. Cleft Palate Craniofac J. 2006;43(2):155-9. DOI: 10.1597/05-008.1
[5] Smith JL, Stowe FR. The Pierre Robin syndrome (glossoptosis, micrognathia, cleft palate). A review of 39 cases with emphasis on associated ocular lesions. Pediatrics. 1961;27(1):128-33. Available from: http://pediatrics.aappublications.org/cgi/content/abstract/27/1/128
[6] Ozkan KU, Coban YK, Uzel M, Ergun M, Oksuz H. Pierre Robin sequence with esophageal atresia and congenital radioulnar synostosis. Cleft Palate Craniofac J. 2006;43(3):317-20.
[7] Stalker HJ, Zori RT. Variable expression of rib, pectus, and scapular anomalies with Robin-type cleft palate in a 5-generation family: a new syndrome? Am J Med Genet. 1997;73(3):247-50. DOI: 10.1002/(SICI)1096-8628(19971219)73:3<247::AID-AJMG3>3.0.CO;2-P
[8] Unger S. The mildest form of campomelic dysplasia [letter]. Am J Med Genet A. 2005;132A(1):113; author reply 114-5. DOI: 10.1002/ajmg.a.30451
[9] Tabith A Jr, Bento-Gonçalves CG. Laryngeal malformation in the Richieri-Costa-Pereira acrofacial dysostosis: description of two new patients. Am J Med Genet A. 2003;122A(2):133-8. DOI: 10.1002/ajmg.a.10227
[10] Molnár S, Szappanos L, Körmendi Z, Veres R. Occipitoatlantoaxial instability and congenital thoracic vertebral deformity in Pierre Robin sequence: a case report. Spine (Phila Pa 1976). 2007;32(17):E501-4.
[11] Gamble JG, Rinsky LA. Combined occipitoatlantoaxial hypermobility with anterior and posterior arch defects of the atlas in Pierre-Robin syndrome. J Pediatr Orthop. 1985;5(4):475-8.
[12] Von Rokitansky KF. Handbuch der pathologischen Anatomie. Vol. II. Wien: Braumüller; 1844.
[13] Van Schrick FG. Die angeborene Kyphose. Z Orthop Chir. 1932;56:238.
[14] Winter RB, Moe JH, Wang JF. Congenital kyphosis. Its natural history and treatment as observed in a study of one hundred and thirty patients. J Bone Joint Surg Am. 1973;55(2):223-56.
[15] Schmorl G, Junghanns H. The human spine in health and disease. Translated by SP Wilk, LS Goin. New York, London: Grune and Stratton; 1959.
[16] Lekovic GP, Rekate HL, Dickman CA, Pearson M. Congenital cervical instability in a patient with camptomelic dysplasia. Childs Nerv Syst. 2006;22(9):1212-4. DOI: 10.1007/s00381-006-0071-1
[17] Coscia MF, Bassett GS, Bowen JR, Ogilvie JW, Winter RB, Simonton SC. Spinal abnormalities in camptomelic dysplasia. J Pediatr Orthop. 1989;9(1):6-14.
[18] Fogh-Andersen P. Inheritance of hare Lip and cleft palate. Copenhagen: Arnold Busck, Nyt Nordisk Forlag; 1942.
[19] Lilius GP. Clefts with associated anomalies and syndromes in Finland. Scand J Plast Reconstr Surg Hand Surg. 1992;26(2):185-96. DOI: 10.3109/02844319209016011
[20] Milerad J, Larson O, PhD D, Hagberg C, Ideberg M. Associated malformations in infants with cleft lip and palate: a prospective, population-based study.Pediatrics. 1997;100(2 Pt 1):180-6. DOI: 10.1542/peds.100.2.180
[21] Shprintzen RJ, Siegel-Sadewitz VL, Amato J, Goldberg RB. Anomalies associated with cleft lip, cleft palate, or both. Am J Med Genet. 1985;20(4):585-95. DOI: 10.1002/ajmg.1320200404
[22] Maroteaux P, Le Merrer M. Les maladies osseuses de l'enfant. 4th ed. Paris : Flammarion Médecine-Sciences; 2002.
[23] Pang D, Dias MS. Cervical myelomeningoceles. Neurosurgery. 1993;33(3):363-73. DOI: 10.1227/00006123-199309000-00003
[24] Sakai K, Sakamoto K, Kobayashi N, Iguchi H. Dermoid cyst within an upper thoracic meningocele. Surg Neurol. 1996;45(3):287-92. DOI: 10.1016/0090-3019(95)00245-6



